The Anti-14-3-3 Beta/Theta Antibody (CAB9156) is a valuable tool for researchers studying the 14-3-3 beta/theta protein, which plays a crucial role in various cellular processes. This polyclonal antibody, raised in rabbits, exhibits high reactivity with human samples and is validated for use in Western blot applications. By binding specifically to the 14-3-3 beta/theta protein, this antibody allows for the detection and analysis of this important protein in different cell types.The 14-3-3 beta/theta protein is involved in signal transduction, cell cycle regulation, and apoptosis, making it a key player in cell biology and disease mechanisms.
Its dysregulation has been implicated in cancer, neurodegenerative disorders, and metabolic diseases, highlighting its potential as a therapeutic target. Research into the function and regulation of 14-3-3 beta/theta is essential for developing treatments that target these diseases at the molecular level.Overall, the Anti-14-3-3 Beta/Theta Antibody (CAB9156) is a valuable tool for researchers investigating the role of the 14-3-3 beta/theta protein in health and disease. Its high reactivity and specificity make it an ideal choice for studies in cell biology, cancer research, and drug development.
Product Name:
14-3-3 beta/Theta Rabbit Monoclonal Antibody
SKU:
CAB9156
Size:
20uL, 100uL
Isotype:
IgG
Host Species:
Rabbit
Reactivity:
Human,Mouse,Rat
Immunogen:
A synthetic peptide corresponding to a sequence within amino acids 1-100 of human 14-3-3 beta/zeta (P31946).
cytoplasm, cytosol, extracellular exosome, focal adhesion, melanosome, perinuclear region of cytoplasm
Calculated MW:
28kDa
Observed MW:
28kDa
This gene encodes a protein belonging to the 14-3-3 family of proteins, members of which mediate signal transduction by binding to phosphoserine-containing proteins. This highly conserved protein family is found in both plants and mammals. The encoded protein has been shown to interact with RAF1 and CDC25 phosphatases, suggesting that it may play a role in linking mitogenic signaling and the cell cycle machinery. Two transcript variants, which encode the same protein, have been identified for this gene. [provided by RefSeq, Jul 2008]
Purification Method:
Affinity purification
Gene ID:
7529/7534
Clone Number:
ARC1455
Storage Buffer:
Store at -20℃. Avoid freeze / thaw cycles.Buffer: PBS with 0.02% sodium azide,0.05% BSA,50% glycerol,pH7.3.
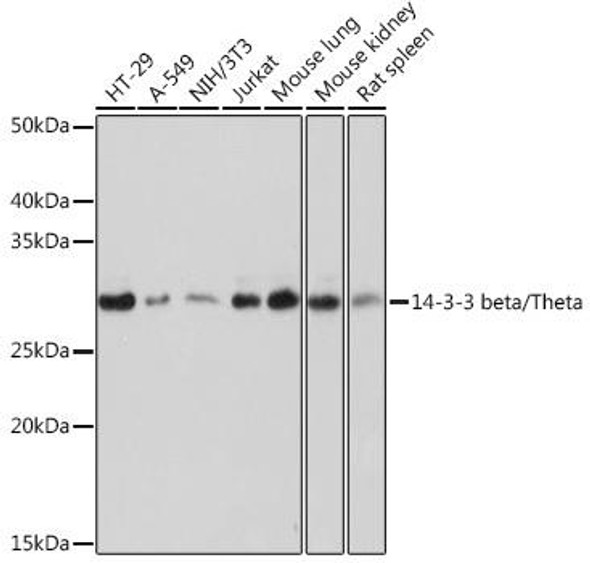
Western blot analysis of extracts of various cell lines, using 14-3-3 beta/zeta antibody (CAB9156) at 1:1000 dilution.Secondary antibody: HRP Goat Anti-Rabbit IgG (H+L) (CABS014) at 1:10000 dilution.Lysates/proteins: 25μg per lane.Blocking buffer: 3% nonfat dry milk in TBST.Detection: ECL Basic Kit (AbGn00020).Exposure time: 30s.