The 14-3-3 Beta/Zeta Rabbit Monoclonal Antibody (CAB9152) is a high-quality antibody designed for research involving the 14-3-3 beta/zeta protein, known for its role in cell signaling and regulation. This antibody, produced in rabbits, exhibits high reactivity with human samples and is validated for use in applications such as Western blotting.The 14-3-3 beta/zeta protein is a key player in various cellular processes, including cell cycle control, apoptosis, and signal transduction. Its involvement in these pathways makes it a valuable target for studying diseases related to cell dysfunction and signaling dysregulation.
This antibody binds specifically to the 14-3-3 beta/zeta protein, allowing for precise detection and analysis in different cell types.Research in the field of cell signaling and regulation, as well as diseases such as cancer and neurodegenerative disorders, can greatly benefit from the use of the 14-3-3 Beta/Zeta Rabbit Monoclonal Antibody. By understanding the function and regulation of the 14-3-3 beta/zeta protein, researchers can gain insights into disease mechanisms and potentially identify new therapeutic targets for intervention.
Product Name:
14-3-3 beta/zeta Rabbit Monoclonal Antibody
SKU:
CAB9152
Size:
20uL, 100uL
Isotype:
IgG
Host Species:
Rabbit
Reactivity:
Human,Mouse,Rat
Immunogen:
A synthetic peptide corresponding to a sequence within amino acids 1-100 of human 14-3-3 beta/zeta (P31946).
cytoplasm, cytosol, extracellular exosome, focal adhesion, melanosome, perinuclear region of cytoplasm
Calculated MW:
28kDa
Observed MW:
28kDa
This gene encodes a protein belonging to the 14-3-3 family of proteins, members of which mediate signal transduction by binding to phosphoserine-containing proteins. This highly conserved protein family is found in both plants and mammals. The encoded protein has been shown to interact with RAF1 and CDC25 phosphatases, suggesting that it may play a role in linking mitogenic signaling and the cell cycle machinery. Two transcript variants, which encode the same protein, have been identified for this gene. [provided by RefSeq, Jul 2008]
Purification Method:
Affinity purification
Gene ID:
7529/7534
Clone Number:
ARC1454
Storage Buffer:
Store at -20℃. Avoid freeze / thaw cycles.Buffer: PBS with 0.02% sodium azide,0.05% BSA,50% glycerol,pH7.3.
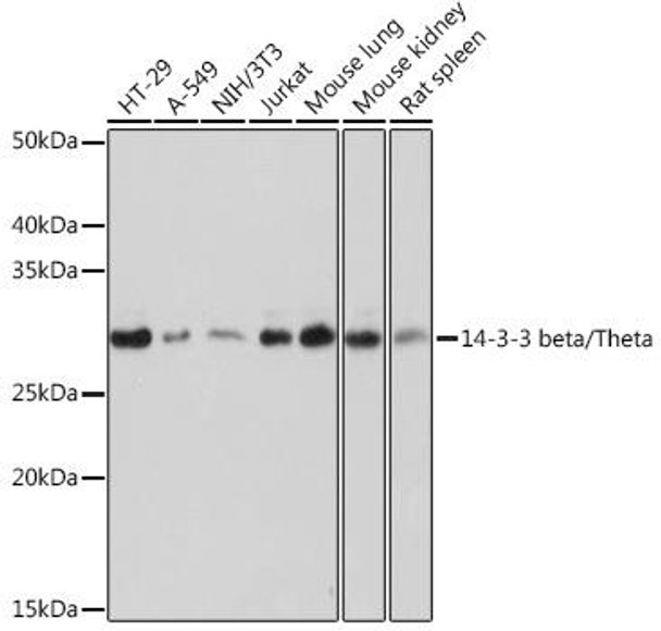
Western blot analysis of extracts of various cell lines, using 14-3-3 beta/zeta Rabbit mAb (CAB9152) at 1:1000 dilution.Secondary antibody: HRP Goat Anti-Rabbit IgG (H+L) (CABS014) at 1:10000 dilution.Lysates/proteins: 25μg per lane.Blocking buffer: 3% nonfat dry milk in TBST.Detection: ECL Basic Kit (AbGn00020).Exposure time: 1s.