Description
UCP2 Antibody (PACO20816)
The UCP2 Polyclonal Antibody (PAC020816) is a valuable tool for researchers studying UCP2, a mitochondrial protein involved in regulating cellular metabolism and energy balance. This antibody, produced in rabbits, demonstrates high reactivity with human samples and has been validated for use in Western blot applications.UCP2, also known as uncoupling protein 2, functions to uncouple mitochondrial respiration from ATP synthesis, affecting both energy expenditure and production. Its role in metabolic processes makes it a key target for investigation in various fields, including obesity, diabetes, and mitochondrial dysfunction.
By binding to UCP2, this antibody enables precise detection and analysis of the protein in different cell types, facilitating research into the mechanisms underlying metabolic regulation and potential therapeutic interventions. Researchers in the fields of metabolism, endocrinology, and mitochondrial biology will find this antibody essential for their studies.
| Antibody Name: | UCP2 Antibody (PACO20816) |
| Antibody SKU: | PACO20816 |
| Size: | 50ul |
| Host Species: | Rabbit |
| Tested Applications: | ELISA, IHC |
| Recommended Dilutions: | ELISA:1:2000-1:5000, IHC:1:25-1:100 |
| Species Reactivity: | Human, Mouse, Rat |
| Immunogen: | Synthetic peptide of human UCP2 |
| Form: | Liquid |
| Storage Buffer: | -20°C, pH7.4 PBS, 0.05% NaN3, 40% Glycerol |
| Purification Method: | Antigen affinity purification |
| Clonality: | Polyclonal |
| Isotype: | IgG |
| Conjugate: | Non-conjugated |
![]() | The image on the left is immunohistochemistry of paraffin-embedded Human breast cancer tissue using PACO20816(UCP2 Antibody) at dilution 1/20, on the right is treated with synthetic peptide. (Original magnification: x200). |
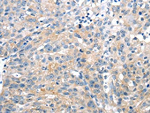
![]() | The image on the left is immunohistochemistry of paraffin-embedded Human liver cancer tissue using PACO20816(UCP2 Antibody) at dilution 1/20, on the right is treated with synthetic peptide. (Original magnification: x200). |
| Background: | Mitochondrial uncoupling proteins (UCP) are members of the larger family of mitochondrial anion carrier proteins (MACP). UCPs separate oxidative phosphorylation from ATP synthesis with energy dissipated as heat, also referred to as the mitochondrial proton leak. UCPs facilitate the transfer of anions from the inner to the outer mitochondrial membrane and the return transfer of protons from the outer to the inner mitochondrial membrane. They also reduce the mitochondrial membrane potential in mammalian cells. Tissue specificity occurs for the different UCPs and the exact methods of how UCPs transfer H+/OH- are not known. UCPs contain the three homologous protein domains of MACPs. This gene is expressed in many tissues, with the greatest expression in skeletal muscle. It is thought to play a role in nonshivering thermogenesis, obesity and diabetes. Chromosomal order is 5'-UCP3-UCP2-3'. |
| Synonyms: | uncoupling protein 2 (mitochondrial, proton carrier) |
| UniProt Protein Function: | UCP2: UCP are mitochondrial transporter proteins that create proton leaks across the inner mitochondrial membrane, thus uncoupling oxidative phosphorylation from ATP synthesis. As a result, energy is dissipated in the form of heat. Belongs to the mitochondrial carrier family. |
| UniProt Protein Details: | Protein type:Membrane protein, multi-pass; Mitochondrial; Membrane protein, integral; Transporter Chromosomal Location of Human Ortholog: 11q13 Cellular Component: mitochondrial inner membrane; integral to membrane Biological Process: cellular metabolic process; proton transport; response to superoxide; regulation of mitochondrial membrane potential; cellular response to insulin stimulus; transport; cellular response to amino acid starvation; response to hypoxia; female pregnancy; negative regulation of apoptosis; aging; mitochondrial transport Disease: Body Mass Index Quantitative Trait Locus 4 |
| NCBI Summary: | Mitochondrial uncoupling proteins (UCP) are members of the larger family of mitochondrial anion carrier proteins (MACP). UCPs separate oxidative phosphorylation from ATP synthesis with energy dissipated as heat, also referred to as the mitochondrial proton leak. UCPs facilitate the transfer of anions from the inner to the outer mitochondrial membrane and the return transfer of protons from the outer to the inner mitochondrial membrane. They also reduce the mitochondrial membrane potential in mammalian cells. Tissue specificity occurs for the different UCPs and the exact methods of how UCPs transfer H+/OH- are not known. UCPs contain the three homologous protein domains of MACPs. This gene is expressed in many tissues, with the greatest expression in skeletal muscle. It is thought to play a role in nonshivering thermogenesis, obesity and diabetes. Chromosomal order is 5'-UCP3-UCP2-3'. [provided by RefSeq, Jul 2008] |
| UniProt Code: | P55851 |
| NCBI GenInfo Identifier: | 2497981 |
| NCBI Gene ID: | 7351 |
| NCBI Accession: | P55851.1 |
| UniProt Secondary Accession: | P55851,Q4PJH8, Q53HM3, |
| UniProt Related Accession: | P55851 |
| Molecular Weight: | 309 |
| NCBI Full Name: | Mitochondrial uncoupling protein 2 |
| NCBI Synonym Full Names: | uncoupling protein 2 (mitochondrial, proton carrier) |
| NCBI Official Symbol: | UCP2 |
| NCBI Official Synonym Symbols: | UCPH; BMIQ4; SLC25A8 |
| NCBI Protein Information: | mitochondrial uncoupling protein 2; solute carrier family 25 member 8 |
| UniProt Protein Name: | Mitochondrial uncoupling protein 2 |
| UniProt Synonym Protein Names: | Solute carrier family 25 member 8; UCPH |
| UniProt Gene Name: | UCP2 |
| UniProt Entry Name: | UCP2_HUMAN |
| Secondary Antibody |
| Anti-HRP Goat Anti-Rabbit IgG (H+L) Antibody (CABS014) |
| Recommended Products |
| Anti-FITC Goat Anti-Rabbit IgG (H+L) Antibody (CABS011) |
| Anti-HRP-conjugated Beta Actin Antibody (CABC028) |

