The PTK2 Polyclonal Antibody (CAB11531) is a valuable tool for researchers studying PTK2, a protein tyrosine kinase involved in signaling pathways related to cell migration, proliferation, and survival. This antibody, produced in rabbits, is highly specific to human PTK2 and is ideal for use in Western blotting and other experimental techniques.PTK2, also known as focal adhesion kinase (FAK), plays a crucial role in cellular processes such as adhesion and migration. Dysregulation of PTK2 has been implicated in various diseases, including cancer and cardiovascular disorders.
By using the PTK2 Polyclonal Antibody, researchers can analyze the expression and activity of PTK2 in different cell types, contributing to a better understanding of its role in normal physiology and disease progression.Studies using the PTK2 Polyclonal Antibody can provide insights into the mechanisms underlying PTK2-mediated signaling pathways and their potential as therapeutic targets. With its high specificity and sensitivity, this antibody is a valuable asset for research in the fields of cancer biology, cell biology, and molecular pharmacology.
Product Name:
FAK Rabbit Polyclonal Antibody
SKU:
CAB11531
Size:
20uL, 100uL
Isotype:
IgG
Host Species:
Rabbit
Reactivity:
Mouse
Immunogen:
Recombinant fusion protein containing a sequence corresponding to amino acids 700-840 of human FAK (NP_722560.1).
This gene encodes a cytoplasmic protein tyrosine kinase which is found concentrated in the focal adhesions that form between cells growing in the presence of extracellular matrix constituents. The encoded protein is a member of the FAK subfamily of protein tyrosine kinases but lacks significant sequence similarity to kinases from other subfamilies. Activation of this gene may be an important early step in cell growth and intracellular signal transduction pathways triggered in response to certain neural peptides or to cell interactions with the extracellular matrix. Several transcript variants encoding different isoforms have been found for this gene.
Purification Method:
Affinity purification
Gene ID:
5747
Storage Buffer:
Store at -20℃. Avoid freeze / thaw cycles.Buffer: PBS with 0.01% thimerosal,50% glycerol,pH7.3.
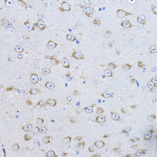
Immunohistochemistry analysis of paraffin-embedded mouse brain using FAK Rabbit pAb (CAB11531) at dilution of 1:100 (40x lens).Perform high pressure antigen retrieval with 10 mM citrate buffer pH 6.0 before commencing with IHC staining protocol.