The Polyubiquitin C Polyclonal Antibody (CAB3207) is a valuable tool for research into the ubiquitination process, a critical mechanism for protein degradation and regulation within cells. This antibody, produced in rabbits, demonstrates high reactivity with human samples and has been validated for use in Western blot applications. By binding specifically to polyubiquitin C, it enables the detection and analysis of this important protein modification in various cell types.Polyubiquitin C is a key player in the ubiquitin-proteasome system, which controls the degradation of misfolded or damaged proteins, as well as the regulation of protein levels in response to cellular signals.
Dysregulation of ubiquitination has been implicated in various diseases, including neurodegenerative disorders, cancer, and inflammatory conditions. Therefore, the study of polyubiquitin C is essential for understanding these disease processes and developing targeted therapies.Overall, the Polyubiquitin C Polyclonal Antibody (CAB3207) is a valuable asset for researchers studying the ubiquitination pathway and its role in cellular homeostasis and disease. Its specificity and sensitivity make it an ideal tool for advancing our knowledge of this fundamental biological process.
Product Name:
UBC Rabbit Polyclonal Antibody
SKU:
CAB3207
Size:
20uL, 100uL
Isotype:
IgG
Host Species:
Rabbit
Reactivity:
Human,Mouse,Rat
Immunogen:
A synthetic peptide corresponding to a sequence within amino acids 1-100 of human UBC (NP_066289.3).
This gene represents a ubiquitin gene, ubiquitin C. The encoded protein is a polyubiquitin precursor. Conjugation of ubiquitin monomers or polymers can lead to various effects within a cell, depending on the residues to which ubiquitin is conjugated. Ubiquitination has been associated with protein degradation, DNA repair, cell cycle regulation, kinase modification, endocytosis, and regulation of other cell signaling pathways.
Purification Method:
Affinity purification
Gene ID:
7316
Storage Buffer:
Store at -20℃. Avoid freeze / thaw cycles.Buffer: PBS with 0.02% sodium azide,50% glycerol,pH7.3.
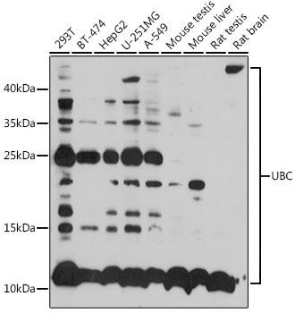
Western blot analysis of various lysates using UBC Rabbit pAb (CAB3207) at 1:1000 dilution.Secondary antibody:HRP Goat Anti-Rabbit IgG (H+L)(CABS014) at 1:10000 dilution.Lysates / proteins: 25 μg per lane.Blocking buffer: 3 % nonfat dry milk in TBST.Detection:ECL Basic Kit (AbGn00020).Exposuretime: 45s.