The Phosphotyrosine Monoclonal Antibody (MACO0148) is a powerful tool for researchers studying phosphorylation events in cell signaling pathways. This antibody, produced using monoclonal technology, is highly specific for detecting phosphotyrosine residues in proteins. It is particularly useful for Western blot and immunoprecipitation experiments, enabling researchers to analyze the phosphorylation status of key proteins involved in cell signaling.Phosphorylation of tyrosine residues is a common mechanism for regulating protein function and is essential for many cellular processes, including cell growth, differentiation, and apoptosis.
The Phosphotyrosine Monoclonal Antibody targets these critical residues, allowing researchers to investigate the role of phosphorylation in signal transduction pathways.Whether studying cancer biology, developmental biology, or immunology, researchers can benefit from the high sensitivity and specificity of the Phosphotyrosine Monoclonal Antibody. Its ability to detect phosphorylated proteins with precision makes it an essential tool for understanding the complex mechanisms that govern cellular signaling events.
Product Name:
Anti-Phosphotyrosine Antibody
Product Sku:
MACO0148
Size:
50ug
Host Species:
Mouse
Tested Applications:
ELISA, WB
Recommended Dilutions:
WB:1:500-1:5000
Species Reactivity:
Human, Mouse, Rat, Hamster
Immunogen:
Purified Protein
Form:
Liquid
Storage Buffer:
PBS, pH 7.4, containing 0.02% sodium azide as Preservative and 50% Glycerol.
Purification Method:
The antibody was affinity-purified from mouse ascites by affinity-chromatography using specific immunogen.
Clonality:
Monoclonal
Isotype:
IgG
Conjugate:
Non-conjugated
Background:
Synonyms:
Phosphotyrosine
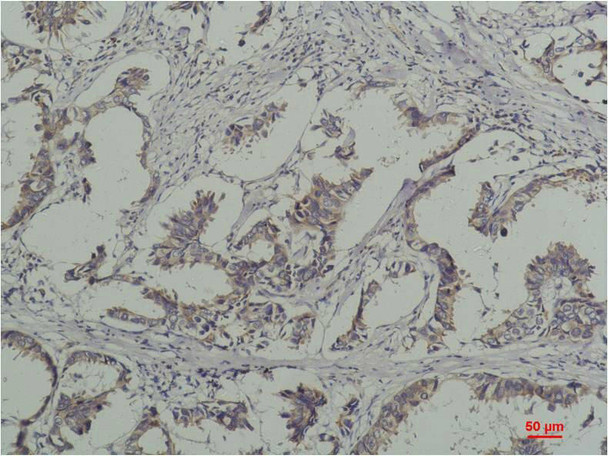
Immunohistochemical analysis of paraffin-embedded Human Breast Caricnoma using Phosphotyrosine Mouse mAb diluted at 1:200.
Western blot analysis of 1) Jurkat, 2) 293T, 3) Rat Brain Tissue, 4) Mouse Brain Tissue with Phosphotyrosine Mouse mAb diluted at 1:2,000.