The PEX2 Polyclonal Antibody (CAB15308) is a valuable tool for researchers studying PEX2, a protein involved in peroxisome biogenesis and metabolism. This antibody, raised in rabbits, is highly specific to human samples and has been validated for use in Western blot applications. By binding to PEX2, this antibody allows for the detection and analysis of the protein in various cell types, making it ideal for investigations in biochemistry, cell biology, and metabolism research.PEX2 is a critical component of the peroxisome assembly pathway, playing a key role in the import of proteins into peroxisomes and the maintenance of peroxisomal function.
Dysfunction of PEX2 has been linked to peroxisome biogenesis disorders and metabolic diseases, making it a promising target for therapeutic interventions. Studying the function and regulation of PEX2 with the help of this antibody can provide valuable insights into peroxisome biology and metabolic homeostasis.
Product Name:
PEX2 Rabbit Polyclonal Antibody
SKU:
CAB15308
Size:
20uL, 100uL
Isotype:
IgG
Host Species:
Rabbit
Reactivity:
Human,Mouse,Rat
Immunogen:
Recombinant fusion protein containing a sequence corresponding to amino acids 1-130 of human PEX2 (NP_001165558.1).
This gene encodes an integral peroxisomal membrane protein required for peroxisome biogenesis. The protein is thought to be involved in peroxisomal matrix protein import. Mutations in this gene result in one form of Zellweger syndrome and infantile Refsum disease. Alternative splicing results in multiple transcript variants encoding the same protein.
Purification Method:
Affinity purification
Gene ID:
5828
Storage Buffer:
Store at -20℃. Avoid freeze / thaw cycles.Buffer: PBS with 0.01% thimerosal,50% glycerol,pH7.3.
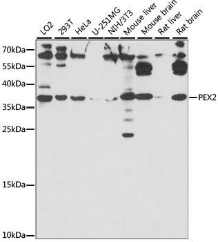
Western blot analysis of various lysates using PEX2 Rabbit pAb (CAB15308) at 1:1000 dilution.Secondary antibody: HRP Goat Anti-Rabbit IgG (H+L) (CABS014) at 1:10000 dilution.Lysates/proteins: 25μg per lane.Blocking buffer: 3% nonfat dry milk in TBST.Detection: ECL Basic Kit (AbGn00020).Exposure time: 20s.