The OGT Rabbit Monoclonal Antibody (CAB3501) offered by Assay Genie is a powerful tool for research involving O-GlcNAc transferase (OGT), an enzyme crucial for regulating protein function through O-GlcNAcylation. This antibody, developed using rabbit monoclonal technology, exhibits high specificity and sensitivity for detecting OGT in human samples, making it a reliable choice for Western blot and immunohistochemistry applications.OGT is a key player in various cellular processes, including transcription, signaling, and protein stability, making it an attractive target for studies in cancer, diabetes, and neurodegenerative disorders.
The OGT Rabbit Monoclonal Antibody enables researchers to explore the role of OGT in these disease contexts, providing valuable insights into potential therapeutic interventions.With its superior performance and versatility, the OGT Rabbit Monoclonal Antibody (CAB3501) from Assay Genie is a valuable tool for scientists seeking to unravel the complex functions of OGT and its implications in human health and disease.
Product Name:
OGT Rabbit Monoclonal Antibody
SKU:
CAB3501
Size:
20uL, 100uL
Isotype:
IgG
Host Species:
Rabbit
Reactivity:
Human,Mouse,Rat
Immunogen:
A synthetic peptide corresponding to a sequence within amino acids 947-1046 of human OGT (O15294).
This gene encodes a glycosyltransferase that catalyzes the addition of a single N-acetylglucosamine in O-glycosidic linkage to serine or threonine residues. Since both phosphorylation and glycosylation compete for similar serine or threonine residues, the two processes may compete for sites, or they may alter the substrate specificity of nearby sites by steric or electrostatic effects. The protein contains multiple tetratricopeptide repeats that are required for optimal recognition of substrates. Alternatively spliced transcript variants encoding distinct isoforms have been found for this gene.
Purification Method:
Affinity purification
Gene ID:
8473
Clone Number:
ARC0790
Storage Buffer:
Store at -20℃. Avoid freeze / thaw cycles.Buffer: PBS with 0.02% sodium azide,0.05% BSA,50% glycerol,pH7.3.
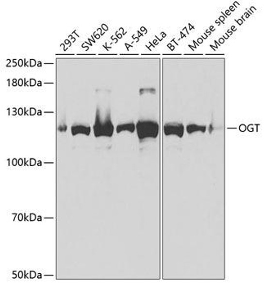
Western blot analysis of various lysates using OGT Rabbit mAb (CAB3501) at 1:1000 dilution.Secondary antibody: HRP Goat Anti-Rabbit IgG (H+L) (CABS014) at 1:10000 dilution.Lysates/proteins: 25μg per lane.Blocking buffer: 3% nonfat dry milk in TBST.Detection: ECL Basic Kit (AbGn00020).Exposure time: 10s.