The MacroH2A.1 Polyclonal Antibody is a valuable tool for researchers studying the histone variant MacroH2A.1, which has been implicated in chromatin structure and gene regulation. This antibody is raised in rabbits and exhibits high reactivity with human samples, making it ideal for use in Western blot applications. By binding to the MacroH2A.1 protein, this antibody allows for the detection and analysis of this important histone variant in a variety of cell types.MacroH2A.1 has been found to play a role in various biological processes, including transcriptional regulation, DNA damage response, and cellular differentiation.
Its involvement in these processes makes it a key target for investigation in diverse areas of research, such as epigenetics, developmental biology, and cancer biology. Understanding the function and regulation of MacroH2A.1 is essential for unraveling its impact on cellular behavior and ultimately developing targeted therapies for diseases linked to dysregulation of this histone variant.
Product Name:
macroH2A.1 Polyclonal Antibody
SKU:
CAB21836
Size:
20uL, 100uL
Isotype:
IgG
Host Species:
Rabbit
Reactivity:
Human,Rat
Immunogen:
A synthetic peptide corresponding to a sequence within amino acids 200-300 of human macroH2A.1 (NP_613258.2).
Histones are basic nuclear proteins that are responsible for the nucleosome structure of the chromosomal fiber in eukaryotes. Nucleosomes consist of approximately 146 bp of DNA wrapped around a histone octamer composed of pairs of each of the four core histones (H2A, H2B, H3, and H4). The chromatin fiber is further compacted through the interaction of a linker histone, H1, with the DNA between the nucleosomes to form higher order chromatin structures. This gene encodes a replication-independent histone that is a member of the histone H2A family. It replaces conventional H2A histones in a subset of nucleosomes where it represses transcription and participates in stable X chromosome inactivation. Alternative splicing results in multiple transcript variants encoding different isoforms.
Purification Method:
Affinity purification
Gene ID:
9555
Storage Buffer:
Store at -20℃. Avoid freeze / thaw cycles.Buffer: PBS with 0.05% proclin300,50% glycerol,pH7.3.
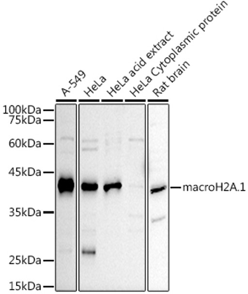
Western blot analysis of various lysates using macroH2A.1 Rabbit pAb (CAB21836) at 1:1000 dilution.Secondary antibody: HRP Goat Anti-Rabbit IgG (H+L) (CABS014) at 1:10000 dilution.Lysates/proteins: 25μg per lane.Blocking buffer: 3% nonfat dry milk in TBST.Detection: ECL Basic Kit (AbGn00020).Exposure time: 120s.