The ICT1 Polyclonal Antibody (CAB11590) offered by Assay Genie is a valuable tool for researchers studying ICT1, a protein involved in mitochondrial translation. This antibody, generated in rabbits, exhibits high reactivity with human samples and is validated for use in a variety of applications, including Western blotting. By specifically binding to the ICT1 protein, this antibody allows for precise detection and analysis in different cell types, making it ideal for investigations in the fields of molecular biology and mitochondrial function.ICT1 is an essential component of the mitochondrial translation machinery, playing a crucial role in the synthesis of proteins within the mitochondria.
Dysregulation of ICT1 has been implicated in various diseases, including mitochondrial disorders and cancer. Therefore, studying the function and expression of ICT1 is key to understanding these pathologies and developing targeted treatments.Overall, the ICT1 Polyclonal Antibody from Assay Genie is a reliable reagent for researchers looking to explore the role of ICT1 in mitochondrial biology and disease. Its high specificity and sensitivity make it a valuable asset in advancing our understanding of this important protein.
Product Name:
ICT1 Rabbit Polyclonal Antibody
SKU:
CAB11590
Size:
20uL, 100uL
Isotype:
IgG
Host Species:
Rabbit
Reactivity:
Human,Mouse
Immunogen:
Recombinant fusion protein containing a sequence corresponding to amino acids 30-206 of human ICT1 (NP_001536.1).
The protein encoded by this gene is a peptidyl-tRNA hydrolase and a vital component of the large mitochondrial ribosome. The encoded protein serves as a ribosome release factor for this ribosome, which translates mitochondrial genes. This protein may be responsible for degrading prematurely-terminated polypeptides and for reusing stalled ribosomes. Two transcript variants encoding different isoforms have been found for this gene.
Purification Method:
Affinity purification
Gene ID:
3396
Storage Buffer:
Store at -20℃. Avoid freeze / thaw cycles.Buffer: PBS with 0.01% thimerosal,50% glycerol,pH7.3.
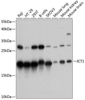
Western blot analysis of various lysates using ICT1 Rabbit pAb (CAB11590) at 1:1000 dilution.Secondary antibody: HRP Goat Anti-Rabbit IgG (H+L) (CABS014) at 1:10000 dilution.Lysates/proteins: 25μg per lane.Blocking buffer: 3% nonfat dry milk in TBST.Detection: ECL Basic Kit (AbGn00020).Exposure time: 5s.