Description
HIST1H1D (Ab-90) Antibody (PACO60614)
The Hist1H1D Antibody (PAC060614) is a high-quality polyclonal antibody designed for research involving Hist1H1D, a protein involved in chromatin structure and gene regulation. This antibody, raised in rabbits, is highly specific and reacts with human samples, making it ideal for a variety of applications including Western blot and immunohistochemistry.Hist1H1D, a member of the histone H1 family, plays a critical role in organizing and condensing DNA within the nucleus. Its involvement in chromatin remodeling and gene expression makes it a key player in epigenetic regulation and cellular processes.
The Hist1H1D Antibody enables researchers to study the expression and localization of this important protein in various cell types and tissues, providing insights into its function and potential implications in disease.With its high specificity and reliability, the Hist1H1D Antibody is a valuable tool for investigations in cell biology, epigenetics, and cancer research. Understanding the role of Hist1H1D in chromatin dynamics and gene regulation can lead to advancements in the development of targeted therapies for various diseases and conditions.
| Antibody Name: | HIST1H1D (Ab-90) Antibody (PACO60614) |
| Antibody SKU: | PACO60614 |
| Size: | 50ul |
| Host Species: | Rabbit |
| Tested Applications: | ELISA, IHC, IF |
| Recommended Dilutions: | ELISA:1:2000-1:10000, IHC:1:10-1:100, IF:1:1-1:10 |
| Species Reactivity: | Human |
| Immunogen: | Peptide sequence around site of Lys (90) derived from Human Histone H1.3 |
| Form: | Liquid |
| Storage Buffer: | Preservative: 0.03% Proclin 300 Constituents: 50% Glycerol, 0.01M PBS, pH 7.4 |
| Purification Method: | Antigen Affinity Purified |
| Clonality: | Polyclonal |
| Isotype: | IgG |
| Conjugate: | Non-conjugated |
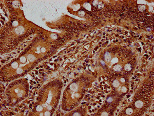
![]() | IHC image of PACO60614 diluted at 1:20 and staining in paraffin-embedded human small intestine tissue performed on a Leica BondTM system. After dewaxing and hydration, antigen retrieval was mediated by high pressure in a citrate buffer (pH 6.0). Section was blocked with 10% normal goat serum 30min at RT. Then primary antibody (1% BSA) was incubated at 4°C overnight. The primary is detected by a biotinylated secondary antibody and visualized using an HRP conjugated SP system. |
![]() | Immunofluorescence staining of Hela cells with PACO60614 at 1:7.5, counter-stained with DAPI. The cells were fixed in 4% formaldehyde, permeabilized using 0.2% Triton X-100 and blocked in 10% normal Goat Serum. The cells were then incubated with the antibody overnight at 4°C. The secondary antibody was Alexa Fluor 488-congugated AffiniPure Goat Anti-Rabbit IgG(H+L). |
![]() | IHC image of PACO60614 diluted at 1:20 and staining in paraffin-embedded human appendix tissue performed on a Leica BondTM system. After dewaxing and hydration, antigen retrieval was mediated by high pressure in a citrate buffer (pH 6.0). Section was blocked with 10% normal goat serum 30min at RT. Then primary antibody (1% BSA) was incubated at 4°C overnight. The primary is detected by a biotinylated secondary antibody and visualized using an HRP conjugated SP system. |
| Background: | Histone H1 protein binds to linker DNA between nucleosomes forming the macromolecular structure known as the chromatin fiber. Histones H1 are necessary for the condensation of nucleosome chains into higher-order structured fibers. Acts also as a regulator of individual gene transcription through chromatin remodeling, nucleosome spacing and DNA methylation (By similarity). |
| Synonyms: | Histone H1.3 (Histone H1c) (Histone H1s-2), HIST1H1D, H1F3 |
| UniProt Protein Function: | H1D: Histone H1 protein binds to linker DNA between nucleosomes forming the macromolecular structure known as the chromatin fiber. Histones H1 are necessary for the condensation of nucleosome chains into higher-order structured fibers. Acts also as a regulator of individual gene transcription through chromatin remodeling, nucleosome spacing and DNA methylation. Belongs to the histone H1/H5 family. |
| UniProt Protein Details: | Protein type:DNA-binding Chromosomal Location of Human Ortholog: 6p21.3 Cellular Component: nuclear chromatin Molecular Function:chromatin DNA binding |
| NCBI Summary: | Histones are basic nuclear proteins responsible for nucleosome structure of the chromosomal fiber in eukaryotes. Two molecules of each of the four core histones (H2A, H2B, H3, and H4) form an octamer, around which approximately 146 bp of DNA is wrapped in repeating units, called nucleosomes. The linker histone, H1, interacts with linker DNA between nucleosomes and functions in the compaction of chromatin into higher order structures. This gene is intronless and encodes a replication-dependent histone that is a member of the histone H1 family. Transcripts from this gene lack polyA tails but instead contain a palindromic termination element. This gene is found in the large histone gene cluster on chromosome 6. [provided by RefSeq, Aug 2015] |
| UniProt Code: | P16402 |
| NCBI GenInfo Identifier: | 121925 |
| NCBI Gene ID: | 3007 |
| NCBI Accession: | P16402.2 |
| UniProt Secondary Accession: | P16402,Q2M2I2, B2R751, |
| UniProt Related Accession: | P16402 |
| Molecular Weight: | 22,350 Da |
| NCBI Full Name: | Histone H1.3 |
| NCBI Synonym Full Names: | histone cluster 1, H1d |
| NCBI Official Symbol: | HIST1H1D |
| NCBI Official Synonym Symbols: | H1D; H1.3; H1F3; H1s-2 |
| NCBI Protein Information: | histone H1.3 |
| UniProt Protein Name: | Histone H1.3 |
| UniProt Synonym Protein Names: | Histone H1c; Histone H1s-2 |
| UniProt Gene Name: | HIST1H1D |
| UniProt Entry Name: | H13_HUMAN |


