The GDI1 Polyclonal Antibody (CAB5462) is a high-quality research tool designed for studying GDI1, a protein involved in intracellular membrane trafficking and signal transduction. This antibody, produced in rabbits, exhibits strong reactivity with human samples and has been validated for use in Western blot applications. By specifically targeting the GDI1 protein, researchers can accurately detect and analyze its expression in various cell types, offering valuable insights into cellular processes related to membrane dynamics and cellular signaling pathways.GDI1, also known as GDP dissociation inhibitor 1, plays a crucial role in regulating the release of GDP-bound GTPases from intracellular membranes, thereby modulating their activity and function. Its involvement in membrane trafficking and signal transduction makes it a key player in cellular processes such as vesicle transport, membrane fusion, and protein targeting.
Understanding the function of GDI1 is essential for unraveling the mechanisms underlying various physiological and pathological conditions, including neurodegenerative disorders, cancer, and metabolic diseases.By utilizing the GDI1 Polyclonal Antibody (CAB5462) in research studies, scientists can uncover new insights into the molecular mechanisms governed by GDI1 and its impact on cellular physiology. This antibody serves as a valuable tool for advancing our understanding of intracellular membrane dynamics and signaling events, paving the way for the development of novel therapeutic approaches targeting GDI1-related pathways in disease.
Product Name:
GDI1 Rabbit Polyclonal Antibody
SKU:
CAB5462
Size:
20uL, 100uL
Isotype:
IgG
Host Species:
Rabbit
Reactivity:
Human,Mouse
Immunogen:
Recombinant fusion protein containing a sequence corresponding to amino acids 188-447 of human GDI1 (NP_001484.1).
GDP dissociation inhibitors are proteins that regulate the GDP-GTP exchange reaction of members of the rab family, small GTP-binding proteins of the ras superfamily, that are involved in vesicular trafficking of molecules between cellular organelles. GDIs slow the rate of dissociation of GDP from rab proteins and release GDP from membrane-bound rabs. GDI1 is expressed primarily in neural and sensory tissues. Mutations in GDI1 have been linked to X-linked nonspecific cognitive disability.
Purification Method:
Affinity purification
Gene ID:
2664
Storage Buffer:
Store at -20℃. Avoid freeze / thaw cycles.Buffer: PBS with 0.02% sodium azide,50% glycerol,pH7.3.
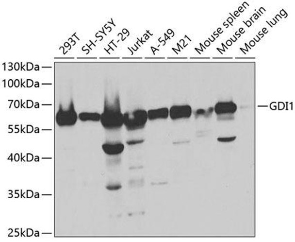
Western blot analysis of extracts of various cell lines, using GDI1 antibody (CAB5462) at 1:1000 dilution.Secondary antibody: HRP Goat Anti-Rabbit IgG (H+L) (CABS014) at 1:10000 dilution.Lysates/proteins: 25μg per lane.Blocking buffer: 3% nonfat dry milk in TBST.Detection: ECL Basic Kit (AbGn00020).Exposure time: 5s.