The EZH2 Polyclonal Antibody (CAB11085) is a valuable tool for researchers studying EZH2, a histone methyltransferase involved in gene regulation and chromatin remodeling. This antibody, produced in rabbits, is highly specific to EZH2 and is validated for use in various applications such as Western blotting.EZH2 plays a crucial role in epigenetic regulation, particularly in the context of cancer development and progression. By targeting EZH2, researchers can gain insights into the mechanisms by which this enzyme influences gene expression and cellular functions.
This antibody enables the detection and analysis of EZH2 in a wide range of samples, making it an ideal choice for studies in oncology and epigenetics.Understanding the functions and regulation of EZH2 is essential for developing targeted therapies for cancer and other diseases where dysregulation of EZH2 is implicated. By using the EZH2 Polyclonal Antibody, researchers can further unravel the complex roles of EZH2 in health and disease, paving the way for innovative treatment strategies.
This gene encodes a member of the Polycomb-group (PcG) family. PcG family members form multimeric protein complexes, which are involved in maintaining the transcriptional repressive state of genes over successive cell generations. This protein associates with the embryonic ectoderm development protein, the VAV1 oncoprotein, and the X-linked nuclear protein. This protein may play a role in the hematopoietic and central nervous systems. Multiple alternatively splcied transcript variants encoding distinct isoforms have been identified for this gene.
Purification Method:
Affinity purification
Gene ID:
2146
Storage Buffer:
Store at -20℃. Avoid freeze / thaw cycles.Buffer: PBS with 0.01% thimerosal,50% glycerol,pH7.3.
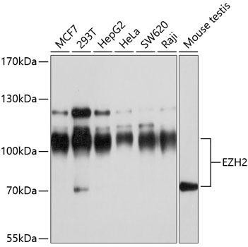
Western blot analysis of various lysates using EZH2/KMT6 Rabbit pAb (CAB11085) at 1:1000 dilution.Secondary antibody: HRP Goat Anti-Rabbit IgG (H+L) (CABS014) at 1:10000 dilution.Lysates/proteins: 25μg per lane.Blocking buffer: 3% nonfat dry milk in TBST.Detection: ECL Basic Kit (AbGn00020).Exposure time: 30s.