The CALCA Polyclonal Antibody (PACO19217) is a vital tool for researchers studying the CALCA protein, which plays a crucial role in pain signaling and neurotransmitter release. This antibody, produced in rabbits, demonstrates strong reactivity with human samples and is validated for use in Western blot applications. By specifically binding to the CALCA protein, researchers can effectively detect and analyze its expression in a variety of cell types, making it an excellent choice for studies in pain biology and neurobiology.CALCA, also known as calcitonin gene-related peptide (CGRP), is a neuropeptide involved in regulating sensory nerve function, vascular tone, and inflammatory responses.
Its involvement in pain pathways and migraine pathology makes it a promising target for research into chronic pain conditions and neurological disorders. Investigating the role of CALCA is crucial for developing innovative therapeutics that target its activity and provide relief for patients suffering from these debilitating conditions.Overall, the CALCA Polyclonal Antibody offers researchers a reliable tool for studying the intricacies of CALCA protein function in various biological processes and disease states, paving the way for advancements in pain management and neurotherapeutics.
Antibody Name:
CALCA Antibody (PACO19217)
Antibody SKU:
PACO19217
Size:
50ul
Host Species:
Rabbit
Tested Applications:
ELISA, IHC
Recommended Dilutions:
ELISA:1:1000-1:5000, IHC:1:50-1:200
Species Reactivity:
Human
Immunogen:
Synthetic peptide of human CALCA
Form:
Liquid
Storage Buffer:
-20°C, pH7.4 PBS, 0.05% NaN3, 40% Glycerol
Purification Method:
Antigen affinity purification
Clonality:
Polyclonal
Isotype:
IgG
Conjugate:
Non-conjugated
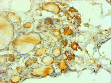
The image on the left is immunohistochemistry of paraffin-embedded Human thyroid cancer tissue using PACO19217(CALCA Antibody) at dilution 1/60, on the right is treated with synthetic peptide. (Original magnification: x200).
The image on the left is immunohistochemistry of paraffin-embedded Human liver cancer tissue using PACO19217(CALCA Antibody) at dilution 1/60, on the right is treated with synthetic peptide. (Original magnification: x200).
Background:
This gene encodes the peptide hormones calcitonin, calcitonin gene-related peptide and katacalcin by tissue-specific alternative RNA splicing of the gene transcripts and cleavage of inactive precursor proteins. Calcitonin is involved in calcium regulation and acts to regulate phosphorus metabolism. Calcitonin gene-related peptide functions as a vasodilator while katacalcin is a calcium-lowering peptide. Multiple transcript variants encoding different isoforms have been found for this gene.
Synonyms:
calcitonin-related polypeptide alpha
UniProt Protein Function:
CALCA: Calcitonin causes a rapid but short-lived drop in the level of calcium and phosphate in blood by promoting the incorporation of those ions in the bones. Belongs to the calcitonin family. 3 isoforms of the human protein are produced by alternative splicing.
UniProt Protein Details:
Protein type:Secreted; Secreted, signal peptide
Chromosomal Location of Human Ortholog: 11p15.2
Cellular Component: extracellular region; extracellular space
Molecular Function:calcitonin receptor binding; identical protein binding; protein binding
Biological Process: activation of protein kinase activity; cellular protein metabolic process; elevation of cytosolic calcium ion concentration; elevation of cytosolic calcium ion concentration during G-protein signaling, coupled to IP3 second messenger (phospholipase C activating); embryo implantation; monocyte chemotaxis; negative regulation of bone resorption; negative regulation of transcription, DNA-dependent; positive regulation of adenylate cyclase activity
NCBI Summary:
This gene encodes the peptide hormones calcitonin, calcitonin gene-related peptide and katacalcin by tissue-specific alternative RNA splicing of the gene transcripts and cleavage of inactive precursor proteins. Calcitonin is involved in calcium regulation and acts to regulate phosphorus metabolism. Calcitonin gene-related peptide functions as a vasodilator and as an antimicrobial peptide while katacalcin is a calcium-lowering peptide. Multiple transcript variants encoding different isoforms have been found for this gene.[provided by RefSeq, Aug 2014]