The BCHE Polyclonal Antibody (PAC025224) is a valuable tool for researchers studying BCHE, an enzyme involved in the regulation of acetylcholine, a neurotransmitter important for nerve signaling. This antibody, produced in rabbits, exhibits high reactivity with human samples and has been validated for use in Western blot applications. By binding specifically to the BCHE protein, this antibody enables precise detection and analysis in a variety of cell types, making it an essential component for studies in neuroscience and neurology research.
BCHE, also known as butyrylcholinesterase, plays a crucial role in the breakdown of acetylcholine, impacting processes such as memory, muscle movement, and mood regulation. Dysregulation of BCHE has been linked to neurological disorders, making it a promising target for research into conditions like Alzheimer's disease and Parkinson's disease. Understanding the function of BCHE is vital for developing treatments that target these diseases and improve overall brain health.
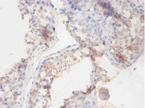
Immunohistochemistry of paraffin-embedded human testis tissue using PACO25224 at dilution of 1:100.
Background:
Esterase with broad substrate specificity. Contributes to the inactivation of the neurotransmitter acetylcholine. Can degrade neurotoxic organophosphate esters
Esterase with broad substrate specificity. Contributes to the inactivation of the neurotransmitter acetylcholine. Can degrade neurotoxic organophosphate esters ().