The ORP150/GRP170/HSP12A Polyclonal Antibody (CAB1042) is an essential tool for researchers studying stress response pathways and protein folding. This antibody, generated in rabbits, is highly specific and sensitive for detecting ORP150, GRP170, and HSP12A proteins in human samples. Validated for use in Western blot applications, this antibody allows for accurate detection and analysis of these stress-related proteins in a variety of cell types.ORP150, GRP170, and HSP12A are heat shock proteins that play crucial roles in cellular stress responses, including protein folding, stabilization, and degradation. These proteins are involved in maintaining cellular homeostasis under various stress conditions, making them important targets for research in fields such as cell biology, molecular biology, and cancer research.
By using the ORP150/GRP170/HSP12A Polyclonal Antibody, researchers can further understand the mechanisms underlying cellular stress responses and potentially identify novel therapeutic targets for conditions related to protein misfolding and cellular stress. This antibody is a valuable tool for investigating the roles of ORP150, GRP170, and HSP12A in health and disease, opening up new avenues for therapeutic intervention and drug development.
Product Name:
ORP150/GRP170/HSP12A Rabbit Monoclonal Antibody
SKU:
CAB1042
Size:
20uL, 100uL
Isotype:
IgG
Host Species:
Rabbit
Reactivity:
Human,Mouse,Rat
Immunogen:
Recombinant fusion protein containing a sequence corresponding to amino acids 1-150 of human ORP150/GRP170/HSP12A (Q9Y4L1).
The protein encoded by this gene belongs to the heat shock protein 70 family. This gene uses alternative transcription start sites. A cis-acting segment found in the 5' UTR is involved in stress-dependent induction, resulting in the accumulation of this protein in the endoplasmic reticulum (ER) under hypoxic conditions. The protein encoded by this gene is thought to play an important role in protein folding and secretion in the ER. Since suppression of the protein is associated with accelerated apoptosis, it is also suggested to have an important cytoprotective role in hypoxia-induced cellular perturbation. This protein has been shown to be up-regulated in tumors, especially in breast tumors, and thus it is associated with tumor invasiveness. This gene also has an alternative translation initiation site, resulting in a protein that lacks the N-terminal signal peptide. This signal peptide-lacking protein, which is only 3 amino acids shorter than the mature protein in the ER, is thought to have a housekeeping function in the cytosol. In rat, this protein localizes to both the ER by a carboxy-terminal peptide sequence and to mitochondria by an amino-terminal targeting signal. Alternative splicing results in multiple transcript variants.
Purification Method:
Affinity purification
Gene ID:
10525
Clone Number:
ARC1857
Storage Buffer:
Store at -20℃. Avoid freeze / thaw cycles.Buffer: PBS with 0.02% sodium azide,0.05% BSA,50% glycerol,pH7.3.
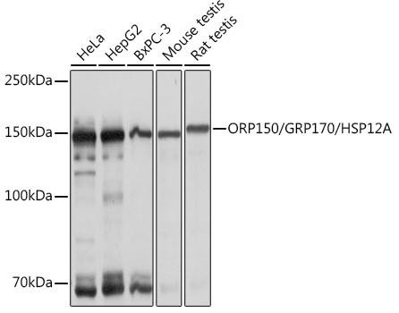
Western blot analysis of various lysates using ORP150/GRP170/HSP12A Rabbit mAb (CAB1042) at 1:1000 dilution.Secondary antibody: HRP Goat Anti-Rabbit IgG (H+L) (CABS014) at 1:10000 dilution.Lysates/proteins: 25μg per lane.Blocking buffer: 3% nonfat dry milk in TBST.Detection: ECL Basic Kit (AbGn00020).Exposure time: 1s.