The Legumain (LGMN) Polyclonal Antibody (CAB6829) is a powerful tool for researchers studying Legumain, a cysteine protease enzyme involved in various cellular processes such as protein processing, apoptosis, and cell invasion. This antibody, raised in rabbits, exhibits high specificity and reactivity with human samples, making it suitable for use in Western blot applications. By binding to the Legumain protein, this antibody enables precise detection and analysis in a variety of cell types, making it an essential tool for studies in biochemistry, cell biology, and cancer research.
Legumain is known for its role in promoting tumor growth, invasion, and metastasis, making it a promising target for therapeutic interventions in cancer. Its involvement in other diseases such as neurodegenerative disorders and cardiovascular diseases further highlights the importance of studying Legumain's function. By understanding the mechanisms by which Legumain influences cellular processes, researchers can develop novel strategies to target this enzyme for therapeutic benefit.
Product Name:
Legumain (LGMN) Rabbit Monoclonal Antibody
SKU:
CAB6829
Size:
20uL, 100uL
Isotype:
IgG
Host Species:
Rabbit
Reactivity:
Human,Mouse
Immunogen:
Recombinant fusion protein containing a sequence corresponding to amino acids 210-302 of human Legumain (LGMN) (Q99538).
This gene encodes a cysteine protease that has a strict specificity for hydrolysis of asparaginyl bonds. This enzyme may be involved in the processing of bacterial peptides and endogenous proteins for MHC class II presentation in the lysosomal/endosomal systems. Enzyme activation is triggered by acidic pH and appears to be autocatalytic. Protein expression occurs after monocytes differentiate into dendritic cells. A fully mature, active enzyme is produced following lipopolysaccharide expression in mature dendritic cells. Overexpression of this gene may be associated with the majority of solid tumor types. This gene has a pseudogene on chromosome 13. Several alternatively spliced transcript variants have been described, but the biological validity of only two has been determined. These two variants encode the same isoform.
Purification Method:
Affinity purification
Gene ID:
5641
Clone Number:
ARC1864
Storage Buffer:
Store at -20℃. Avoid freeze / thaw cycles.Buffer: PBS with 0.02% sodium azide,0.05% BSA,50% glycerol,pH7.3.
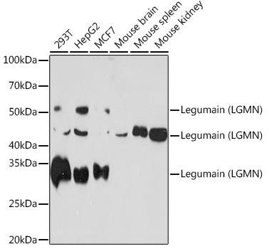
Western blot analysis of extracts of various cell lines, using Legumain (LGMN) (LGMN) Rabbit mAb (CAB6829) at 1:1000 dilution.Secondary antibody: HRP Goat Anti-Rabbit IgG (H+L) (CABS014) at 1:10000 dilution.Lysates/proteins: 25μg per lane.Blocking buffer: 3% nonfat dry milk in TBST.Detection: ECL Basic Kit (AbGn00020).Exposure time: 60s.