The GTF2I Polyclonal Antibody (CAB0542) is a valuable tool for researchers studying the GTF2I protein, a key transcription factor involved in gene regulation. This antibody, produced in rabbits, is highly specific to human samples and has been validated for use in Western blotting applications. By targeting the GTF2I protein, this antibody enables accurate detection and analysis in a variety of cell types, making it an essential component in studies related to transcriptional regulation and gene expression.
GTF2I is known for its role in modulating gene expression and regulating various cellular processes, including cell proliferation and differentiation. Its involvement in these crucial biological functions makes it a promising target for research in areas such as cancer biology, developmental biology, and genetic disorders. By understanding the mechanisms by which GTF2I functions, researchers can gain insights into its impact on cellular processes and potential therapeutic applications.
Product Name:
GTF2I Rabbit Monoclonal Antibody
SKU:
CAB0542
Size:
20uL, 100uL
Isotype:
IgG
Host Species:
Rabbit
Reactivity:
Human,Mouse,Rat
Immunogen:
A synthetic peptide corresponding to a sequence within amino acids 1-100 of human GTF2I (P78347).
This gene encodes a phosphoprotein containing six characteristic repeat motifs. The encoded protein binds to the initiator element (Inr) and E-box element in promoters and functions as a regulator of transcription. This locus, along with several other neighboring genes, is deleted in Williams-Beuren syndrome. There are many closely related genes and pseudogenes for this gene on chromosome 7. This gene also has pseudogenes on chromosomes 9, 13, and 21. Alternatively spliced transcript variants encoding multiple isoforms have been observed.
Purification Method:
Affinity purification
Gene ID:
2969
Clone Number:
ARC2515
Storage Buffer:
Store at -20℃. Avoid freeze / thaw cycles.Buffer: PBS with 0.02% sodium azide,0.05% BSA,50% glycerol,pH7.3.
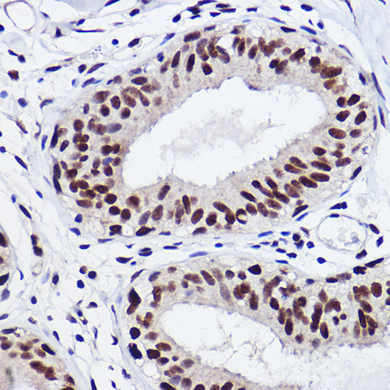
Immunohistochemistry analysis of paraffin-embedded human breast cancer using GTF2I Rabbit mAb (CAB0542) at dilution of 1:100 (40x lens).Perform high pressure antigen retrieval with 10 mM citrate buffer pH 6.0 before commencing with IHC staining protocol.