The EIF3E Polyclonal Antibody (CAB3431) is a valuable tool for researchers studying EIF3E, a key component of the eukaryotic translation initiation factor 3 (eIF3) complex. This antibody, raised in rabbits, is highly specific to human EIF3E and has been validated for use in Western blot applications. By binding to EIF3E, this antibody enables the detection and analysis of the protein in various cell types, making it a valuable asset for studies in molecular biology and cancer research.EIF3E plays a crucial role in the initiation of protein synthesis, making it a target of interest in understanding cellular processes and disease development.
Dysregulation of EIF3E has been implicated in various cancers, making it a potential biomarker and therapeutic target in oncology research. By studying EIF3E with this antibody, researchers can gain insights into its function and potential implications in disease pathology, paving the way for novel treatment strategies in the future.
Product Name:
eIF3e Rabbit Monoclonal Antibody
SKU:
CAB3431
Size:
20uL, 100uL
Isotype:
IgG
Host Species:
Rabbit
Reactivity:
Human,Mouse,Rat
Immunogen:
Recombinant fusion protein containing a sequence corresponding to amino acids 210-350 of human eIF3e (P60228).
Enables protein N-terminus binding activity. Contributes to translation initiation factor activity. Involved in positive regulation of mRNA binding activity; regulation of gene expression; and translational initiation. Located in cytosol and nucleus. Part of eukaryotic translation initiation factor 3 complex. Colocalizes with PML body.
Purification Method:
Affinity purification
Gene ID:
3646
Clone Number:
ARC1997
Storage Buffer:
Store at -20℃. Avoid freeze / thaw cycles.Buffer: PBS with 0.02% sodium azide,0.05% BSA,50% glycerol,pH7.3.
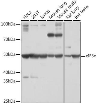
Western blot analysis of various lysates using eIF3e Rabbit mAb (CAB3431) at 1:1000 dilution.Secondary antibody: HRP Goat Anti-Rabbit IgG (H+L) (CABS014) at 1:10000 dilution.Lysates/proteins: 25μg per lane.Blocking buffer: 3% nonfat dry milk in TBST.Detection: ECL Basic Kit (AbGn00020).Exposure time: 30s.