The Contactin-2 Monoclonal Antibody (CAB5137) is a valuable tool for research involving Contactin-2, a cell adhesion molecule that plays a crucial role in the development and function of the nervous system. This antibody, produced in mice, is highly specific for detecting Contactin-2 in human samples and has been validated for use in applications such as immunohistochemistry and flow cytometry.Contactin-2 is known for its roles in axon guidance, neuronal migration, and synapse formation, making it an essential target for studies in neurobiology and developmental biology.
The Contactin-2 Monoclonal Antibody binds to Contactin-2 with high affinity, enabling precise detection and analysis of this protein in various cell types and tissues.By understanding the function and regulation of Contactin-2, researchers can gain insights into neurodevelopmental disorders, neurodegenerative diseases, and neurological conditions. The Contactin-2 Monoclonal Antibody provides a reliable tool for investigating the roles of Contactin-2 in these contexts and advancing our knowledge of the nervous system.
Product Name:
Contactin 2 Rabbit Monoclonal Antibody
SKU:
CAB5137
Size:
20uL, 100uL
Isotype:
IgG
Host Species:
Rabbit
Reactivity:
Human,Mouse,Rat
Immunogen:
A synthetic peptide corresponding to a sequence within amino acids 1-100 of human Contactin 2 (Q02246).
This gene encodes a member of the contactin family of proteins, part of the immunoglobulin superfamily of cell adhesion molecules. The encoded glycosylphosphatidylinositol (GPI)-anchored neuronal membrane protein plays a role in the proliferation, migration, and axon guidance of neurons of the developing cerebellum. A mutation in this gene may be associated with adult myoclonic epilepsy.
Purification Method:
Affinity purification
Gene ID:
6900
Clone Number:
ARC1984
Storage Buffer:
Store at -20℃. Avoid freeze / thaw cycles.Buffer: PBS with 0.02% sodium azide,0.05% BSA,50% glycerol,pH7.3.
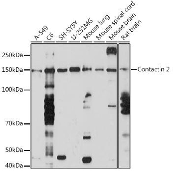
Western blot analysis of extracts of various cell lines, using Contactin 2 Rabbit mAb (CAB5137) at 1:1000 dilution.Secondary antibody: HRP Goat Anti-Rabbit IgG (H+L) (CABS014) at 1:10000 dilution.Lysates/proteins: 25μg per lane.Blocking buffer: 3% nonfat dry milk in TBST.Detection: ECL Basic Kit (AbGn00020).Exposure time: 90s.