The CAMKII Polyclonal Antibody (CAB3529) is a valuable tool for researchers studying CAMKII, a crucial protein involved in numerous cellular processes such as neuronal signaling, gene transcription, and muscle contraction. This antibody, produced in rabbits, exhibits high specificity and reactivity towards human samples and has been successfully validated for use in Western blot applications.By binding to the CAMKII protein, this antibody enables accurate detection and analysis in a variety of cell types, making it an essential tool for investigations in neuroscience, cell biology, and cardiovascular research.
The role of CAMKII in synaptic plasticity, learning and memory, and cardiovascular function underscores its importance as a target for drug development and understanding disease mechanisms.Furthermore, dysregulation of CAMKII has been implicated in various neurological disorders, cardiac diseases, and cancer, highlighting the relevance of studying this protein in different pathologies. By utilizing the CAMKII Polyclonal Antibody, researchers can further unravel the complex functions and regulatory mechanisms of CAMKII, ultimately advancing our understanding of human health and disease.
Product Name:
CaMKI Rabbit Monoclonal Antibody
SKU:
CAB3529
Size:
20uL, 100uL
Isotype:
IgG
Host Species:
Rabbit
Reactivity:
Human,Mouse,Rat
Immunogen:
A synthetic peptide corresponding to a sequence within amino acids 1-100 of human CaMKI (NP_003647.1).
Calcium/calmodulin-dependent protein kinase I is expressed in many tissues and is a component of a calmodulin-dependent protein kinase cascade. Calcium/calmodulin directly activates calcium/calmodulin-dependent protein kinase I by binding to the enzyme and indirectly promotes the phosphorylation and synergistic activation of the enzyme by calcium/calmodulin-dependent protein kinase I kinase.
Purification Method:
Affinity purification
Gene ID:
8536
Clone Number:
ARC2030
Storage Buffer:
Store at -20℃. Avoid freeze / thaw cycles.Buffer: PBS with 0.02% sodium azide,0.05% BSA,50% glycerol,pH7.3.
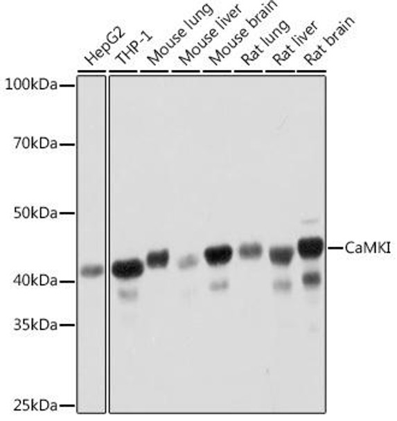
Western blot analysis of extracts of various cell lines, using CaMKI Rabbit mAb (CAB3529) at 1:1000 dilution.Secondary antibody: HRP Goat Anti-Rabbit IgG (H+L) (CABS014) at 1:10000 dilution.Lysates/proteins: 25μg per lane.Blocking buffer: 3% nonfat dry milk in TBST.Detection: ECL Basic Kit (AbGn00020).Exposure time: 1min.