The Acetyl-Histone H3 (K14) Polyclonal Antibody (CAB7254) is a valuable tool for researchers studying histone modifications and gene expression regulation. This antibody, produced in rabbits, specifically recognizes the acetylated form of Histone H3 lysine 14 (H3K14ac) in human samples and is validated for use in techniques such as Western blotting.Histone acetylation plays a crucial role in chromatin remodeling and gene transcription by altering the chromatin structure to allow access to transcription factors and RNA polymerase. The acetylation of Histone H3 at lysine 14 has been linked to gene activation and is associated with various biological processes, including cell proliferation, differentiation, and apoptosis.
By targeting H3K14ac, researchers can investigate the role of histone acetylation in gene regulation and potentially uncover novel mechanisms in diseases such as cancer, neurological disorders, and developmental abnormalities. The Acetyl-Histone H3 (K14) Polyclonal Antibody provides a reliable tool for studying histone modifications and their impact on gene expression.
Product Name:
Acetyl-Histone H3-K14 Rabbit Polyclonal Antibody
SKU:
CAB7254
Size:
20uL, 100uL
Isotype:
IgG
Host Species:
Rabbit
Reactivity:
Human,Mouse,Rat,Other (Wide Range Predicted)
Immunogen:
A synthetic acetylated peptide around K14 of human H3 (NP_003520.1).
Histones are basic nuclear proteins that are responsible for the nucleosome structure of the chromosomal fiber in eukaryotes. Nucleosomes consist of approximately 146 bp of DNA wrapped around a histone octamer composed of pairs of each of the four core histones (H2A, H2B, H3, and H4). The chromatin fiber is further compacted through the interaction of a linker histone, H1, with the DNA between the nucleosomes to form higher order chromatin structures. This gene is intronless and encodes a replication-dependent histone that is a member of the histone H3 family. Transcripts from this gene lack polyA tails; instead, they contain a palindromic termination element. This gene is located separately from the other H3 genes that are in the histone gene cluster on chromosome 6p22-p21.3.
Purification Method:
Affinity purification
Gene ID:
8290/8350
Storage Buffer:
Store at -20℃. Avoid freeze / thaw cycles.Buffer: PBS with 0.02% sodium azide,50% glycerol,pH7.3.
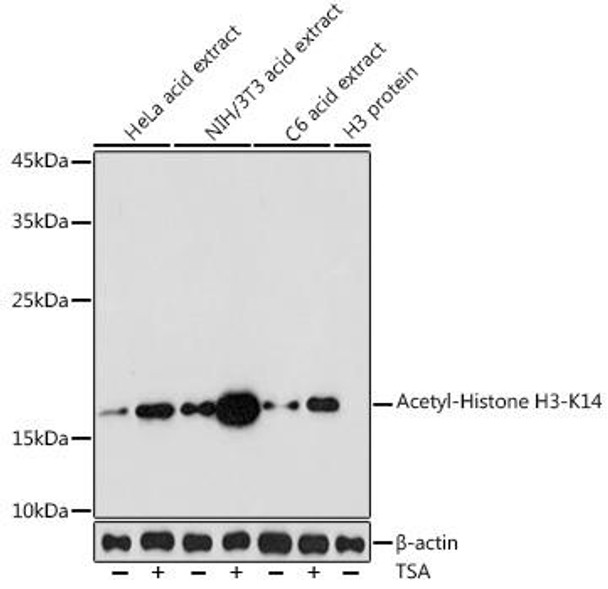
Western blot analysis of lysates from C6 cells using Acetyl-Histone H3-K14 Rabbit pAb (CAB7254) at 1:400 dilution. C6 cells were treated by TSA (1 uM) at 37℃ for 18 hours.Secondary antibody: HRP Goat Anti-Rabbit IgG (H+L) (CABS014) at 1:10000 dilution.Lysates/proteins: 25 μg per lane.Blocking buffer: 3% nonfat dry milk in TBST.Detection: ECL Basic Kit (AbGn00020).Exposure time: 30s.