The ABCC12 Polyclonal Antibody (PAC018497) is a valuable tool for researchers studying the ABCC12 gene, which encodes a member of the ATP-binding cassette (ABC) transporter family. This antibody, produced in rabbits, exhibits high reactivity with human samples and has been validated for use in Western blot applications. It specifically targets the ABCC12 protein, allowing for its detection and analysis in various cell types.ABCC12 is a transporter protein involved in the cellular efflux of a wide range of substrates, including drugs and toxins. Its role in multidrug resistance and its association with various diseases, such as cancer and drug resistance, make it a compelling target for further investigation.
By understanding the function of ABCC12, researchers can potentially develop strategies to overcome drug resistance and improve therapeutic outcomes in cancer and other related conditions.Overall, the ABCC12 Polyclonal Antibody is a valuable tool for researchers interested in exploring the role of ABCC12 in drug resistance, cancer biology, and other physiological processes where ABC transporters play a crucial role. Its specificity and reliability make it a trustworthy antibody for studies in molecular and cellular biology.
Antibody Name:
ABCC12 Antibody (PACO18497)
Antibody SKU:
PACO18497
Size:
50ul
Host Species:
Rabbit
Tested Applications:
ELISA, IHC
Recommended Dilutions:
ELISA:1:1000-1:2000, IHC:1:15-1:50
Species Reactivity:
Human, Mouse, Rat
Immunogen:
Synthetic peptide of human ABCC12
Form:
Liquid
Storage Buffer:
-20°C, pH7.4 PBS, 0.05% NaN3, 40% Glycerol
Purification Method:
Antigen affinity purification
Clonality:
Polyclonal
Isotype:
IgG
Conjugate:
Non-conjugated
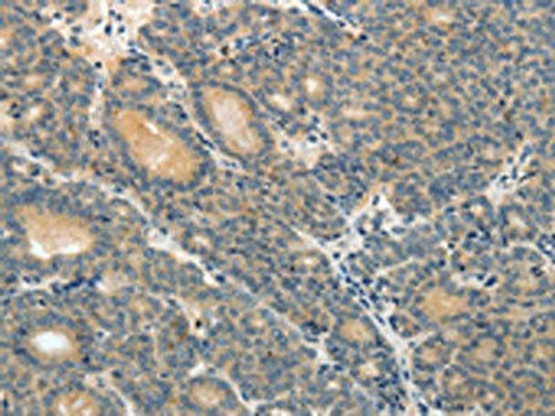
The image on the left is immunohistochemistry of paraffin-embedded Human thyroid cancer tissue using PACO18497(ABCC12 Antibody) at dilution 1/10, on the right is treated with synthetic peptide. (Original magnification: x200).
Background:
This gene is a member of the superfamily of ATP-binding cassette (ABC) transporters and the encoded protein contains two ATP-binding domains and 12 transmembrane regions. ABC proteins transport various molecules across extra- and intracellular membranes. ABC genes are divided into seven distinct subfamilies: ABC1, MDR/TAP, MRP, ALD, OABP, GCN20, and White. This gene is a member of the MRP subfamily which is involved in multi-drug resistance. This gene and another subfamily member are arranged head-to-tail on chromosome 16q12.1. Increased expression of this gene is associated with breast cancer.
Synonyms:
ATP-binding cassette, sub-family C (CFTR/MRP), member 12
UniProt Protein Function:
ABCC12: Probable transporter. Belongs to the ABC transporter superfamily. ABCC family. Conjugate transporter (TC 3.A.1.208) subfamily. 5 isoforms of the human protein are produced by alternative splicing.
This gene is a member of the superfamily of ATP-binding cassette (ABC) transporters and the encoded protein contains two ATP-binding domains and 12 transmembrane regions. ABC proteins transport various molecules across extra- and intracellular membranes. ABC genes are divided into seven distinct subfamilies: ABC1, MDR/TAP, MRP, ALD, OABP, GCN20, and White. This gene is a member of the MRP subfamily which is involved in multi-drug resistance. This gene and another subfamily member are arranged head-to-tail on chromosome 16q12.1. Increased expression of this gene is associated with breast cancer. [provided by RefSeq, Jul 2008]